medical software development since 1999  
  • Sante DICOM Viewer Mac

  • Sante DICOM Viewer Mac

  • Sante DICOM Viewer Mac

  • Sante DICOM Viewer Mac


Sante DICOM Viewer Mac


Create anonymized Ultrasound (US) movie (mov) files



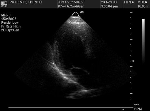
A DICOM Ultrasound multi-frame file with burned-in patient's name


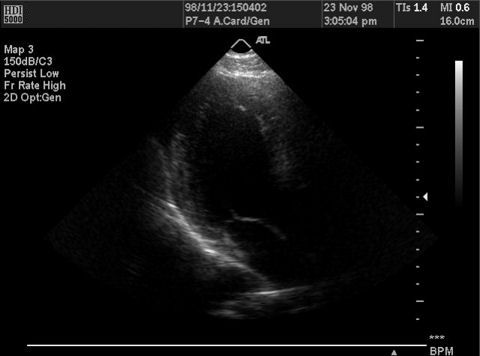
The Ultrasound file without the patient's name


Step-by-step procedure

  • Open your DICOM file
  • Select the menu command "EditApply To Frame RangeProcessing Actions"
  • Select the menu command "ToolsSelectionRectangle"
  • Select the area with the patient's name



  • Select the menu command "SelectionFill Selected Area", or press the <Shift> + <Delete> keyboard buttons. The program uses the color of the upper-left pixel of the selected area to fill the area.



  • Select the menu command "FileExportDICOM to Movie File (mov)"