medical software development since 1999  
  • Sante DICOM Viewer Mac

  • Sante DICOM Viewer Mac

  • Sante DICOM Viewer Mac

  • Sante DICOM Viewer Mac


Sante DICOM Viewer Mac


Anonymize DICOM files, remove burned-in annotations

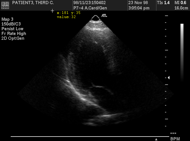
The program has the ability to remove confidential patient data from the header of DICOM files, as well as from the images (e.g. the burned-in names in Ultrasound images). The user can anonymize a single file, a series or study, or all the files within a folder and its sub-folders (batch anonymizing).

Contents



Anonymize the current file or series

Select the menu command "EditAnonymize Current File" or "EditAnonymize Current Series".
The program uses the Anonymizing options to select the header information to delete.

Back to contents



Adjust anonymizing options

Select the menu command "OptionsAnonymizing Options". The dialog box below appears, and it allows you to select the specific fields which will be removed from the file's header.

OK button:
Accepts the user selection, and closes this dialog box.

Cancel button:
Cancels the selection, and closes this dialog box.

Help button:
Displays a help topic.

Check all button:
Press this button to select all fields for removing.

Uncheck all button:
Press this button to deselect all fields from removing.

Show attention message when critical fields have not been removed because of this setup:
Enable this option to allow the program to generate a warning message, when you attempt to anonymize a file and there are critical fields which remain on file's header, because of this setup.

Show attention message when burned-in annotation flag (0x0028,0x0301) is set:
Enable this option to allow the program to generate a warning message, when the file's header indicates that there are burned-in annotations on the images, because in this case the header anonymizing is not enough to protect patient information.

Remove all private "PN" tags:
Enable this option to allow the program to remove all "PN" tags from the header, either they are nested inside sequences, or they are tags which belong to machine vendor.

Back to contents


Anonymize many DICOM files within a folder

First of all configure the anonymizing options. Then select the menu command "FileBatchAnonymize".
Use this command to batch remove patient information from DICOM files within a folder and its subfolders, and to remove burned-in annotations. The filenames of the new files are the same with the old ones with an "_anon" suffix, to avoid overwriting of the original files. If you want to collect the anonymized files, search within the folder for files with "_anon" as part of their names (e.g. "*_anon*"), and use a utility like winzip or winrar to compress the files. In these utilities enable the "Keep directory structure" option, to avoid overwriting files with the same name in different location. After that, extract your zip to a new location, and delete the old "_anon" files from the file explorer's search window.
  • Browse button: Use this button to select the directory, which contains the DICOM files.
  • Include Subdirectories checkbox: Enable this option to force the program to anonymize also the header of the files within the sub-directories of the selected folder.
  • Overwrite prompt checkbox: Enable this option to force the program to generate a warning prompt, when it attempts to overwrite an existing file.
  • Create DICOMIR checkbox: Enable this option to force the program to generate a DICOMDIR file for the anonymized files. The old files are not included in the DICOMDIR file. If there is already a DICOMIDIR file within the folder it will be renamed to 'DICOMDIR.old'.
  • Select button: Allows the user to select an anonymizing template.
  • Anonymize button: Press this button to start the procedure.
  • Close button: Closes this dialog box.
  • Help button: Displays a help topic.
  • Options button: Allows the user to select the specific fields which will be removed from the file's header.
  • Rectangles button: Allows the user to define up to four rectangles which will be filled with the background color, to remove burned-in annotations, from all frames of the file. The program automatically selects the color of the upper-left pixel of each rectangle as the background color for this rectangle.
    • x1, y1: Specify the upper left corner of each rectangle.
    • x2, y2: Specify the down-right corner of each rectangle.
    • Clear button: Clears the x1,y1,x2,y2 values.
    • Save button: Saves the rectangles to the registry.
    • Load button: Loads the previously saved rectangles from the registry.

Back to contents


Use anonymizing templates

If the user wishes to anonymize additional fields that are not included in the Adjust anonymizing options Setup, an anonymizing template can be used. An anonymizing template can be also used, if the user wishes to replace the value of a field to be anonymized with a special value, instead of leaving the value of this field blank, e.g. if the patient name must be replaced with the value "Anonymized" instead of a blank value. The anonymizing template is a special file that can keep DICOM tags with their values. The anonymizing template lets the user determine the additional fields to be anonymized and their values.

A sample of an anonymizing template:


Read the topic Use templates, to learn how you can create and use templates.

After the template creation the user can select it for use with the <Select...> button of the above Batch Anonymize dialog box.

Back to contents


Remove burned-in annotations

  • Open your DICOM file
  • Select the menu command "EditApply To Frame RangeProcessing Actions"
  • Select the menu command "ToolsSelectionRectangle"
  • Select the area with the patient's name



  • Select the menu command "SelectionFill Selected Area", or press the <Shift> + <Delete> keyboard buttons
    The program uses the color of the upper-left pixel of the selected area to fill the area.



  • Save the file with a different name. The program replaces the pixel data, thus the user has to keep a copy of the original file.

Back to contents


Remove burned-in annotations in many files (batch procedure)

  • select the menu command "FileBatchAnonymize"
  • Select the "Rectangles" button



    This dialog box allows the user to define up to four rectangles which will be filled with the background color, to remove burned-in annotations, from all frames of the file. The program automatically selects the color of the upper-left pixel of each rectangle as the background color for this rectangle. The first set of rectangles are used in the single-frame files and the second set in the multi-frame files.

    • x1, y1: Specify the upper left corner of each rectangle.
    • x2, y2: Specify the down-right corner of each rectangle.
    • Clear button: Clears the x1,y1,x2,y2 values.
    • Save button: Saves the rectangles to the registry.
    • Load button: Loads the previously saved rectangles from the registry.

  • Press the "Save" button to save the rectangles in the registry and the "OK" button to close this dialog.
  • Press the "Anonymize" button of the first dialog.
  • The user can use the "Color Picker" tool to find the coordinates of the rectangles.


Back to contents