medical software development since 1999  
  • Sante FFT Imaging

  • Sante FFT Imaging

  • Sante FFT Imaging

  • Sante FFT Imaging


Sante FFT Imaging

Sante FFT Imaging


Sante FFT Imaging is a program that removes pattern noise from DICOM and plain images (jpg, tif, png and bmp). This type of noise is very common in images that have been digitized with a CR digitizer. The program uses the Fast Fourier Transform (FFT), convolution low-pass filters in frequency domain or/and direct frequency deleting to eliminate the pattern noise.

The Fourier transform

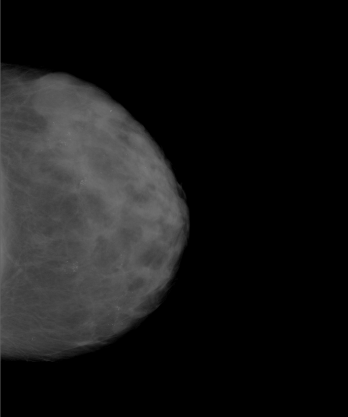
The Fourier transform is a mathematical tool used to transfer an image from spatial domain to frequency domain. In the frequency domain we can view the power spectrum of the image, that indicates how much a frequency participates in the image construction.

The image The power spectrum
The image The power spectrum

In the center of the power spectrum (the bright star) there is the low frequency information of the image (the solid intensity/color areas of the image), and in the edges of the power spectrum there is the information of the high frequencies (the details of the image). The white color indicates that a frequency participates a lot in image construction, the black color indicates that a frequency is missing. Of course low frequencies are more common in any image and for that reason in the center of the image there is the bright white star.

If the image is smooth like the image above, the power spectrum is smooth as well. If it contains pattern noise then there are stars and lines in other places and not only in the center of the power spectrum. These stars and lines represent the frequencies of the pattern noise and they indicate that there is strong existence of this noise in the image.

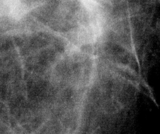
The image with pattern noise Detail of the noise of the image
The image with pattern noise Detail of the noisy image

The image above contains pattern noise (horizontal dark lines). This noise appears in the power spectrum as extra lines and stars. The user must delete this extra lines and stars to improve the image quality.
The power spectrum of a noisy image The corrected power spectrum
The power spectrum of a noisy image The corrected power spectrum

With Sante FFT Imaging the user can delete the extra frequencies (stars and lines) of the pattern noise directly. After that, the pattern noise has eliminated from the image without losing the details (the high frequencies) of the image.

The power spectrum of a noisy image


Low total cost of ownership

The license of the program is perpetual, it does not expire and there are no annual renewal or contract fees. The update, maintenance and support of the program are free. The registered user can download, install and use every new version of the program without any additional cost.

System Requirements

Fourier is an aristocrat and loves fast computers, large amounts of memory and 64 bit systems.
  • Windows 11/10/8.1/8/7 (64 bit) and Windows Server 2022/2019/2016/2012/2008 (64 bit)
  • Intel Core i3 1.3GHz or greater
  • 4 GB memory or more
  • 30MB free space on hard disk

Download Download the application

Price List


License Type
 

Price
 
Single User License (for Windows)

  • Perpetual license (never expires)
  • Updates to all next versions are free
  • Free maintenance and support

1250 US$
(for one user, there are volume discount prices)

On-line Shop Order it now Written Quotes Ask for a written quote